最近在朋友圈看到一位骨科醫生發的動態, 被他分享的病例給震驚了。

他在動態中寫到:10歲小朋友, 低頭玩手機玩到癱瘓。
三分之二以上的椎管被突出的椎間盤佔據,
脊髓被嚴重壓迫變形。

紅色箭頭指示黑色三角即為突出椎間盤
事情是這樣的, 10歲的小鵬最近迷上了吃雞遊戲, 每天一放學就霸佔著爸爸媽媽的手機玩個不停。
因為玩得太投入, 他一直保持著低頭的姿勢,
一玩就是幾小時, 累了就換個姿勢, 後腦勺靠著沙發仰著玩。 不管是吃飯、上廁所, 小鵬都離不開手機, 父母勸他不要再玩, 他就生氣不吃東西。
寵溺兒子的鵬爸鵬媽忙著自己的事, 一來二去也沒太在意兒子了。 一個月前小鵬照樣低頭玩著手機, 突然哭喊自己脖子疼。
鵬爸鵬媽開始以為他是低頭玩手機久了肌肉酸痛, 幫他按摩後讓他休息。
可是一連幾天, 疼痛都沒有明顯緩解, 有時候半夜都會哭醒喊痛。 更嚴重的是, 小鵬說自己的雙手發麻、左手又沉又重, 一點力氣都沒有, 還幾天沒有解大便了。
鵬爸鵬媽感覺到事情不對, 趕緊把孩子送到當地醫院。
醫生給他做體格檢查發現, 小鵬的頸椎有壓痛、活動障礙, 左手肌力不僅下降了,
還有輕度的肌肉萎縮。 醫生趕快給他安排頸椎增強CT檢查, 發現第5、6頸椎之間的椎間盤鈣化並髓核突出、頸椎管嚴重狹窄, 寰樞關節失穩。
拿到檢查報告的醫生也是一陣驚訝, 這麼小的孩子頸椎管狹窄這麼嚴重, 再不治療, 脊髓長期受壓迫, 很有可能導致癱瘓。

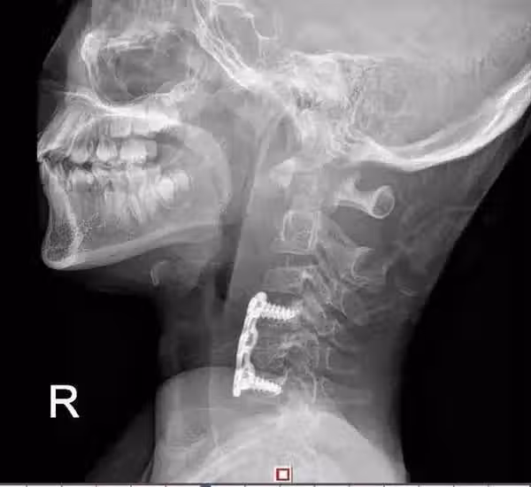
鋼板固定的頸椎側面

鋼板固定的頸椎正面 脊柱外科評估小鵬的病情後給出了手術方案, 最後通過手術把小鵬突出的椎間盤和部分椎體切除,
用鋼板固定了鬆動的椎骨。
小鵬的左手肌力恢復了正常, 頸部疼痛也改善了, 不過他以後就沒有辦法再低頭玩手機了。
因為裝了鋼板的脖子不能過曲和左右轉動了。
這些傷害都是悄無聲息地發生
不是危言聳聽
趕緊往下看吧~
低頭玩手機=脖子扛大米
你知道人的頭多重嗎?5公斤左右。
所以, 當你抬頭挺胸時, 脖頸只需要承受約5公斤的重量。

但是, 在你前傾低頭60度看手機時, 頸部就需承受25~30公斤的重量! 你想想, 一袋25公斤的大米掛在脖子上, 那是怎樣的一種感受…… 頸部的肌肉、韌帶為了減輕頸椎壓力, 會反射性地緊張起來, 來對抗前傾。 一開始, 脖子只是偶爾有疲勞感, 休息一下就好了。 長此以往, 脖子會經常出現明顯酸脹感, 甚至疼痛。 眼睛缺水?當心乾眼癥 玩手機時, 經常有時光飛逝之感。 可能是因為, 快樂的時間總是過得特別快吧…… 除了忘記時間, 人還會忘記眨眼。 別小看眨眼。 那0.2~0.4秒的一瞬間, 就能在眼球表面拉起一層淚膜, 滋潤和保護眼睛。 玩出腱鞘炎 拇指在手機上劃啊劃, 從此劃船不用槳~ 長時間保持這樣的姿勢, 大拇指的肌腱和腱鞘反復摩擦, 容易導致腫脹、
發炎,從而發生手指麻木、水腫、刺痛、敏感性下降等,握東西感到困難,手指活動時加重。 屁股傷不起 拉粑粑時玩手機,注意力都在手機上,大便的時間不知不覺就延長了。 長時間蹲坐,靜脈回流不暢,可是會引發痔瘡的! 對便秘的人來說,更是有可能會加重便秘。 顏值下跌,雙下巴、頸紋閃爍 如果前面那些都不夠警醒,這個絕對夠嚇人:長期低頭玩手機,會變老變醜! 前面說了,低頭玩手機時,人體的脖子承受的壓力很大,
而脖子肌肉又是垂直生長的,如此一來,則容易出現下垂。
發炎,從而發生手指麻木、水腫、刺痛、敏感性下降等,握東西感到困難,手指活動時加重。 屁股傷不起 拉粑粑時玩手機,注意力都在手機上,大便的時間不知不覺就延長了。 長時間蹲坐,靜脈回流不暢,可是會引發痔瘡的! 對便秘的人來說,更是有可能會加重便秘。 顏值下跌,雙下巴、頸紋閃爍 如果前面那些都不夠警醒,這個絕對夠嚇人:長期低頭玩手機,會變老變醜! 前面說了,低頭玩手機時,人體的脖子承受的壓力很大,
而脖子肌肉又是垂直生長的,如此一來,則容易出現下垂。




